광고
광고
광고
광고

망막변성의 예방과 조기발견 ②

후생신보 admin@whosaeng.com | 기사입력 2022/08/22 [09:16]

망막변성의 예방과 조기발견 ②

후생신보 | 입력 : 2022/08/22 [09:16]

노인인구 증가와 함께 망막변성을 앓고 있는 환자 또한 증가하고 있다. 이에 본지는 한국망막변성협회(회장 유형곤, 서울의대 안과)와 함께 망막변성 질환 바로알기 캠페인을 진행한다. 망막변성협회와 본지간 캠페인은 올해로 3회째. 2022년 올해 주제는 ‘망막변성의 조기발견과 예방’이다. 

모든 질환이 다 그렇듯 망막변성 질환 또한 예방이 최우선이다. 이를 위해 어떤 노력을 해야 하는지는 망막변성협회와의 이번 특집을 통해 자세히 다룰 예정이다. 

또, 예방을 위한 노력에도 불구하고 망막변성 질환을 진단 받았다면 이후는 실명까지 걸리는 시간을 최대한 늦추는 게 치료의 목표다. 질환 발생 이전으로 되돌릴 수 있는 방법이 아직까지는 없기 때문이다. 

이에 본지와 망막변성협회는 이번 특집을 통해 망막변성 질환 예방과 더불어 조기발견을 위한 방법들에 대해 집중 조명한다. 

 

글싣는순서

1. 근시성 변성의 예방   // 신용운 교수(한양의대) 

2. 망막변성의 감별진단   // 최경식 교수(순천향의대) 

3. 몸이 천냥이면 눈이 구백냥   // 조희윤 교수(한양의대) 

4. 약물에 의한 망막변성   // 배정훈 교수(성균관의대) 

5. 유전성 망막변성의 조기발견   // 배건호 교수(서울의대) 

6. 황반변성에 좋은 운동습관 - 7가지 팁   // 유형곤 회장(한국망막변성협회, 하늘안과의원)

 

 

02. 망막변성의 감별진단 - 최경식 교수(순천향의대) 

 

▲ 최경식 교수(순천향의대)     ©후생신보

망막은 눈을 사진기에 비유할 경우 사진기의 필름에 해당하는데 이 망막의 변성은 여러가지 원인에 의해 발생한다. 망막변성은 후천적이라기 보단 유전과 관련된 변성이 많으며 그 대표적인 경우가 망막색소변성이다.

 

망막색소변성은 망막에 있는 여러 세포 중 광수용체의 손상과 더불어 망막색소상피세포라는 세포층의 변화로 인해 밤에 잘 안보이는 야맹증이 대표적인 증상으로 예전 TV 드라마에서 여자 주인공이 이 질환을 앓고 있어 사회적으로 이 병에 대한 관심이 늘기도 했었다.

 

망막색소변성에서 보이는 증상은 야맹증과 시력저하 외에도 보이는 시야가 좁아지게 되며 실명에 이르게 된다.

 

이 증상들이 나타나는 시기는 매우 다양하며 안저검사에서는 증상보다 뒤늦게 변성을 육안으로 확인할 수 있으며 따라서 증상이 있는 경우 안저검사에서 변화가 없다 하더라도 망막전위도검사를 통해 더 일찍 망막의 광수용체의 손상 여부를 확인할 수 있다.

▲ (그림 1. 망막색소변성, p148, 임상시각전기생리학 개정판)

 

원인은 명확하지 않지만 다양한 유전양상을 띄며 돌연변이로도 나타날 수 있어 가족 중에 망막색소변성환자가 있다면 유전상담을 통해 질환여부를 확인하는 것이 중요하다. 망막색소변성은 눈뿐아니라 귀가 잘 들리지 않는 청각장애와 같이 다른 장기의 이상을 동반하는 경우도 있어 전신질환에 대한 증상에 대해서도 주의를 요한다. 야맹증이 있다고 모두 망막색소변성은 아니기에 망막색소변성과 감별할 질환들이 있다. 특히 유전되지 않는 망막질환에서도 망막색소변성과 감별이 필요한데 망막의 감염이나 염증성질환, 종양과 관련된 자가면역관련 망막병증, 약물의 독성 등과도 감별해야 한다.

▲ (표 1. 망막색소변성의 감별진단, p141, 임상시각전기생리학 개정판)


망막의 변성은 해당하는 부위에 따라서 나뉘기도 하며 질환이 발생하는 원인을 명확히 모르는 경우도 있으며 나이가 들면서 발생하는 경우도 있어 다양한 변성이 망막에 있다고 하겠다.

 

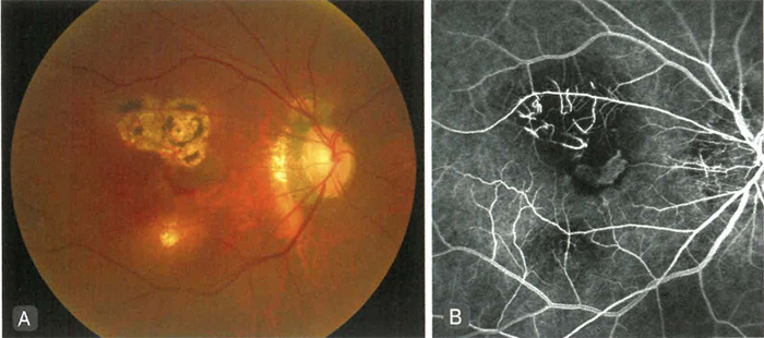
망막의 중심을 황반이라 하며 우리가 보는 시력, 즉 중심시력을 보는 중요한 부위인데 이 부분에 변성이 발생하는 경우에 중심시력이 떨어지게 된다. 우리가 많이 알고 있는 황반변성은 주로 나이가 들면서 발생하는 노화에 의해 망막색소상피층의 변화나 광수용체에서 바깥 부분이 정상적인 탐식으로 제거되지 않아 노폐물이 쌓이게 되는데 이로 인해 광수용체의 손상은 물론 새로운 혈관이 생기게 되면서 출혈을 일으켜 실명을 유발하는 질환이다.

▲ (그림2. 황반변성. P.481, 망막 4th edition)

 

나이가 듦에 따라 발생하기에 나이관련황반변성이라 부르게 되며 이 변성의 진행을 더디게 하기 위해 최근 많은 비타민들이 시중에 유통되고 있다. 황반변성으로 인한 증상은 중심시력의 저하는 물론 사물이 찌그러져 보이는 변시증이 나타나며 망막아래에 피가 나거나 병변이 흉터로 남게 되고 위축이 되면 실명을 하게 된다. 요즘은 나쁜 혈관이 발생하여 망막의 변화가 있으면 눈속으로 항체주사를 주사하여 새로 생긴 혈관을 줄이고 망막의 부종을 감소시켜 질환의 악화를 지연시키는데 효과적이다. 

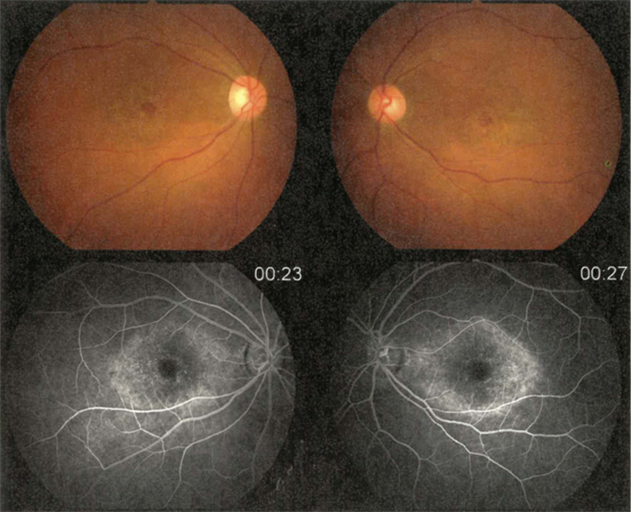
▲ (그림 3. 원뿔세포이상증, p249, 유전성망막질환)


하지만 모든 황반변성에서 주사가 효과적이진 않아 아직 이 질환을 완치시키진 못하지만 최근 황반변성의 유전자를 밝히고 이에 대한 다각적인 치료를 위한 연구와 노력이 계속되고 있다.

 

황반에 생기는 변성은 나이관련황반변성 외에도 광수용체나 망막색소상피의 이상을 동반하는 여러 질환들이 있다. 그중 하나인 광수용체의 변성으로 시작되는 원뿔세포이상증은 광수용체중 원뿔세포의 이상에 이어 막대세포까지 손상이 발생하고 이로 인한 시력저하를 보이는데 황반부에 위축성 변화가 뚜렷해지게 된다.

 

이외에도 노른자모양이상증, 스타가르트병, 망막층간분리증, 무의이상증 등 여러 질환들이 황반의 변성이 있어 시력저하를 유발하게 된다.

 

아쉽게도 망막변성의 대부분에서 완치를 기대할 수 있는 치료 방법은 아직 없으나 비타민 등의 항산화제를 복용하고 자외선 차단을 위해 선글라스 등을 사용하여 변성이 더 진행하는 것을 막고자 노력해볼 수 있다. 최근 유전자치료제의 개발로 망막변성환자 중 RPE65 유전자변이가 있는 경우 치료제를 사용할 수 있으나 비용이 너무 비싸 환자분들이 쉽게 치료받기는 어려운 실정이다.

 

황반부 외에도 망막의 주변부에 발생하는 변성이 있으며 이들 변성 중 대표적인 격자변성은 주로 망막박리와 연관되는 경우가 많아 발견되면 병변 주위에 울타리를 치듯 레이저를 이용하여 망막이 떨어지지 않도록 예방적 치료를 하기도 한다.

▲ (그림 4. 격자변성, p1138, 망막4th edition)

 

주변부망막변성은 우연히 발견되는 경우가 많으며 열공이 함께 발견되기도 하고 이미 망막박리가 동반된 경우도 있다. 주변부의 변성은 그 양상이 다양하며 망막열공과 관련된 경우 눈속에 있는 유리체가 액화가 되는 변화로 인해 망막과 유리체간의 변성이나 망막에 대한 견인이 발생하면서 상대적으로 약한 주변부변성 부위에서 망막이 찢어질 확률이 높아 주의를 요한다. 이런 주변부망막변성은 중심시력과 직접적인 연관은 없지만 망막박리가 생기면서 황반부를 침범하게 된다면 시력 저하를 초래하게 된다.

 

우리나라와 같이 동양인에서는 근시가 많은데 유독 심한 근시에서 발생하는 변성이 있다. 이를 변성근시라고 한다. 근시는 눈의 길이가 길어지게 되면서 망막은 물론 망막외 조직인 맥락막에도 변화를 주어 변성이 발생하게 되는데 황반부와 주변부 모두에서 변화가 생길 수 있다. 황반부에 발생하는 근시로 인한 변화는 망막과 맥락막의 위축이나 망막의 경계막에 균열이 생겨 출혈이 발생하기도 하며 황반변성과도 같이 나쁜 신생혈관이 발생하여 출혈과 부종을 초래하기도 한다.

▲ (그림 5. 근시성 맥락막신생혈관, p624, 망막 4th edeition)


변성근시로 인한 신생혈관에서도 나이관련황반변성과 같이 신생혈관을 줄이기 위해 눈속 항체주사를 시행하여 효과를 보기도 한다.

 

시력저하나 눈부심, 어두운 곳에서 불편함 등의 눈에 발생되는 증상이 발생하는 경우 질병에 대한 두려움 등으로 병원을 찾지 않는 경우도 있는데 눈에 불편감이 있다면 반드시 안과병의원을 방문하여 전문의의 진단을 받는 것이 중요하다.

 

질환에 대한 치료가 쉽지 않아 병의원에서 진료를 받아도 소용 없다고 생각할 수 있으며 심한 불안과 우울증으로 힘든 경우가 많다. 이럴 경우 가족과 진료하는 의사는 환자에게 도움을 줄 수 있도록 하여야 한다. 진단 후에 치료방법이 없다고 진료를 꾸준히 받지 않는다면 망막변성에서 발생하는 치료 가능한 합병증인 백내장, 황반부종 등에 대한 진단과 치료가 늦어질 수 있어 정기적인 진료는 꼭 필요하다. 또 시력이 저하되면 활동에 있어서도 많이 힘들게 되는데 이럴수록 저시력기구 등을 적극적으로 활용하고 익히는 것도 필요하다.

 

 

 

참고문헌 

유전성망막질환, 유형곤 

망막, 4th edition, 한국망막학회 

임상시각전기생리학 개정판, 한국임상시각전기생리학회

 

 

닉네임 패스워드 도배방지 숫자 입력
내용
기사 내용과 관련이 없는 글, 욕설을 사용하는 등 타인의 명예를 훼손하는 글은 관리자에 의해 예고 없이 임의 삭제될 수 있으므로 주의하시기 바랍니다.
 
광고
광고
광고
광고
광고
광고
광고
광고
광고
광고
광고
광고
광고
광고
광고
망막 이해하기 캠페인 많이 본 기사