광고
광고
광고
광고

증상 없는 영상 면역관련 이상반응, 간세포암 면역치료 예후 연관

서울대병원 유수종 교수팀, 영상 기반 무증상 면역반응 독립적 예후 인자로 확인

이상철 기자 kslee@whosaeng.com | 기사입력 2025/11/27 [09:33]

증상 없는 영상 면역관련 이상반응, 간세포암 면역치료 예후 연관

서울대병원 유수종 교수팀, 영상 기반 무증상 면역반응 독립적 예후 인자로 확인

이상철 기자 | 입력 : 2025/11/27 [09:33]

【후생신보】  간세포암 환자의 1차 면역항암치료 과정에서 환자가 증상을 느끼지 않더라도 CT에서 나타나는 경미한 면역관련 변화가 생존기간 및 치료 효과와 연관될 수 있는 것으로 밝혀졌다.

 

그동안 단순한 이상 소견으로 여겨졌던 영상 변화가 실제로는 치료 경과를 예측하는 의미 있는 지표가 될 수 있음을 확인한 것이다.

 

▲ (왼쪽부터) 유수종 교수 박제연 진료교수 이동호 교수

 

간세포암은 B·C형 간염, 간경변 등 만성 간질환 환자에서 주로 발생하며 초기 증상이 거의 없어 뒤늦게 발견되는 경우가 많다.

 

최근 면역항암제가 간세포암의 중요한 치료 옵션으로 자리 잡았지만, 치료 중 나타나는 ‘면역관련 이상반응(irAEs)’이 실제 예후와 어떤 연관을 갖는지는 충분히 알려져 있지 않았다. 특히 환자에게 불편한 증상이 전혀 없더라도 영상에서만 관찰되는 변화가 어떤 의미를 갖는지는 더욱 연구가 필요한 상황이었다.

 

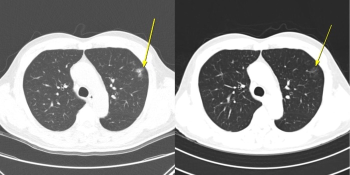
▲ 무증상 일시적 면역관련 폐렴 사례 = 이 환자는 AteBeva 치료 3개월째 시행한 저선량 흉부 CT(왼쪽)에서 폐 주변부에 미세 염증성 음영이 나타났으나, 6개월째 CT(오른쪽)에서는 자연적으로 소실되는 양상을 보였다. 치료는 지속됐으며, 이후 부분 관해(PR)를 달성했고 총 19.7개월간 무진행 생존(PFS)을 유지했다.

 

서울대병원 소화기내과 유수종 교수팀(박제연 진료교수, 영상의학과 이동호 교수)은 2020년 10월부터 2023년 6월까지 아테졸리주맙·베바시주맙 병합요법을 받은 절제 불가능 간세포암 환자 198명을 대상으로 치료 중 발생한 이상반응이 임상 경과에 미치는 영향을 후향적으로 분석한 연구 결과를 25일 발표했다.

 

유 교수팀은 치료 중 나타난 이상반응 양상에 따라 환자를 ▲이상반응이 전혀 없는 ‘무이상반응군’ ▲임상 증상이나 혈액검사 이상을 동반한 ‘증상성 이상반응군(증상군)’ ▲증상은 없지만 CT에서 폐 주변부 미세 염증성 음영, 일시적 대장벽 비후, 장간막 염증, 반응성 림프절 종대 등 면역반응으로 해석되는 변화만 나타난 ‘무증상 영상 이상반응군(무증상 영상군)’으로 분류했다. 전체 198명 중 무증상 영상군은 12명, 증상군은 56명, 무이상반응군은 130명이었다.

 

이후 세 군의 전체 생존기간(OS), 무진행생존기간(PFS), 질병조절률(DCR) 등을 비교해 임상적 의미를 분석한 결과, 무증상 영상군에서 가장 뚜렷한 예후 개선 효과가 확인됐다.

 

6·12·18·24개월 시점의 전체 생존율을 비교하면 무증상 영상군은 각각 100.0%, 82.5%, 82.5%, 82.5%로 가장 높았고 증상군은 89.1%, 64.1%, 41.7%, 40.5%, 무이상반응군은 72.3%, 48.3%, 31.3%, 19.4%였다. 치료 중 증상이 없더라도 영상에서 면역반응을 보인 환자들이 생존기간 면에서 좋은 경과를 보인 것이다.

 

▲ 무이상반응군(Non-AE), 무증상 영상군(Asymp AE), 증상군(Symp AE)에서 전체 생존율(OS, 왼쪽)과 무진행생존율(PFS, 오른쪽)을 Kaplan–Meier 곡선과 시간 종속 Cox 회귀모형으로 비교한 결과 = 무증상 영상군(파란색)은 사망 위험과 질병 진행 위험이 가장 낮아 통계적으로 유의하게 우수한 예후를 보였다.

 

또한 IPTW 보정을 적용한 시간 종속 Cox 회귀 분석에서도, 무증상 영상군은 무이상반응군에 비해 사망 위험이 약 81% 낮았으며(HR 0.19), 증상군 역시 약 58% 낮은 것으로 나타났다(HR 0.42). 두 군 모두 사망 위험이 통계적으로 유의하게 낮았다(P=0.02). 이는 증상이 없어도 영상에서 보이는 변화가 실제 생존기간에 중요한 영향을 미칠 수 있음을 보여준다.

 

무진행생존기간(PFS)도 무증상 영상군과 증상군에서 더 길게 유지됐으며 특히 무증상 영상군은 PFS의 독립적인 예후 인자로 확인됐다. 즉, 영상에서 관찰되는 작은 변화만으로도 치료 경과를 예측하는 데 의미 있는 정보를 얻을 수 있다는 의미다.

 

치료 반응률에서도 차이가 분명했다. 무증상 영상군의 객관적 반응률(ORR)은 41.7%, 질병조절률(DCR)은 100%로 가장 높았으며 증상군은 각각 26.8%와 92.9%, 무이상반응군은 13.8%와 60.0%로 뒤를 이었다. 이는 환자가 증상을 느끼지 않더라도 CT에서 보이는 경미한 변화가 치료 반응이 좋은 환자를 조기에 식별하는 중요한 단서가 될 수 있음을 시사한다.

 

이번 연구는 면역항암치료 중 관찰되는 영상 변화가 단순한 부작용을 넘어 환자의 예후를 평가하는 핵심 지표가 될 수 있음을 보여주며, 절제 불가능 간세포암 환자의 치료 전략을 세우는 데 중요한 근거를 제공한다. 연구팀은 다만 중증 면역관련 이상반응은 예후 악화와 연관될 수 있어 별도의 관리가 필요하다고 강조했다.

 

유수종 교수는 “환자가 특별한 증상을 느끼지 않더라도 영상에서 나타나는 미세한 변화에는 중요한 정보가 담겨 있을 수 있다”며 “정기적인 영상검사를 통해 이러한 변화를 세심하게 관찰하면 환자의 상태를 더욱 정확하게 파악하고 치료 전략을 보다 안전하게 조정할 수 있다”고 말했다.

 

유 교수팀의 연구는 국제 학술지 ‘Liver Cancer’ 최근호에 게재됐다.

닉네임 패스워드 도배방지 숫자 입력
내용
기사 내용과 관련이 없는 글, 욕설을 사용하는 등 타인의 명예를 훼손하는 글은 관리자에 의해 예고 없이 임의 삭제될 수 있으므로 주의하시기 바랍니다.
 
간세포암, 면역항암치료, B·C형 간염, 간경변, 서울대병원, 유수종 교수 관련기사목록
광고
광고
광고
광고
광고
광고
광고
광고
광고
광고
광고
광고
광고
광고
광고