광고
광고
광고
광고

주요 장기 위협하는 ‘종격동 종양’…“검진으로 조기 진단”

문영중 기자 | 기사입력 2024/09/19 [18:21]

주요 장기 위협하는 ‘종격동 종양’…“검진으로 조기 진단”

문영중 기자 | 입력 : 2024/09/19 [18:21]

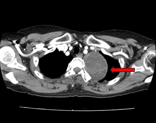
▲ 종격동 종양 환자의 흉부 CT 사진.

【후생신보】다소 생소할 수 있는 종격동은 가슴뼈와 척추 사이 빈 공간을 뜻한다. 해부학적으로는 양측 폐를 나누는 조직과 기관을 칭하는 용어로 가슴 안쪽 공간의 폐를 제외한 모든 부분을 말한다. 이런 종격동에 물혹이나 양성 종양, 악성 종양인 암이 발생하는 것을 종격동 종양이라고 한다. 가슴 정중앙 부위에 위치한 면역계통 기관인 흉선에 생기는 흉선암의 경우 매우 드물게 발생하지만, 5년 생존율이 30~50%로 예후가 좋지 않다.

 

종격동은 심장을 기준으로 앞쪽의 전(前)종격동, 뒤쪽의 후(後)종격동, 이들 사이의 중(中)종격동으로 나뉜다. 종격동에는 대동맥과 주요 혈관, 기관지, 식도, 심장, 늑간신경 등 생명을 유지하는 데 중요한 장기와 기관들이 자리한다. 종격동 종양은 종양이 생겨난 부위에 따라 다양해진다. 전종격동에선 흉선종이 가장 흔하고, 중종격동의 경우 여러 종류의 낭성 종양 및 림프종이 주로 발생한다. 척추에 가까운 후종격동에선 신경에 기원한 종양의 빈도가 높다.

 

증상은 종양이 압박하는 기관에 따라 다르게 나타난다. 기관지를 압박하면 기침과 호흡 곤란을 겪고 식도를 압박하면 목에 이물감을 느낄 수 있다. 늑간신경을 자극한다면 늑간신경통이, 후두신경이라면 애성(쉰 목소리)이 나타나는 등 주변 신경을 압박할 경우에는 신경학적 증상이 동반된다. 대동맥이 압박되면 경부의 동맥이 굵어지면서 피가 우회해서 흐르는 측부혈행이 나타나 평소에 없었던 부위에 정맥이 발견되기도 한다. 악성 종양 중 하나인 흉선종의 경우에는, 절반 정도가 일시적인 근력약화, 피로를 특징으로 하는 중증근무력증을 보인다고 알려져 있다. 이 때문에 중증근무력증으로 진단받게 되면 흉부 전산화단층촬영(CT)을 통해 역으로 흉선종 여부를 파악하는 게 좋다.

 

근본 치료법은 종양을 제거하는 수술적 완전 절제로, 전이 등 절제가 불가능할 경우 방사선 조사를 통해 치료한다. 전통적으로 가슴뼈를 반으로 갈라 절제하는 정중흉골절개술이 많이 시행됐고 최근에는 흉터와 통증을 최소화하기 위해 흉강경 또는 로봇수술로 종양을 제거하기도 한다.

 

고려대학교 안산병원 심장혈관흉부외과 황진욱 교수는 “종격동 종양 중 성인에서 발병률이 가장 높은 흉선종의 경우 종양이 흉선종의 피막을 뚫고 나와 주변 장기로 침범해 재발 가능성을 높이는만큼 이때는 종양 일부가 아닌 흉선 자체를 제거해야한다”며 “절제한 흉선에서 흉선종이 주변 조직을 뚫고 나온 소견을 발견한다면, 추후 방사선 치료를 진행해야 한다”고 설명했다. 특히 황 교수는 “최근 고려대의료원 심장혈관흉부외과 공동연구팀이 단일공 로봇 흉선절제술과 기존 흉강경 흉선절제술의 효과를 세계최초로 비교 분석한 결과 합병증 발병, 퇴원일수 측면에서 로봇수술의 안정성이 더 뛰어났다”고 강조했다.

 

종격동 종양에 대한 위험 요인이 불명확해 이를 예방하기 위한 특별한 방법은 존재하지 않는다. 다만 건강검진을 위해 시행한 저선량 흉부 전산화단층촬영(CT)에서 종격동 종양 소견을 발견하는 경우가 꾸준히 늘고 있는 만큼, 조기 진단이 가능하다.

 

황 교수는 “종격동 종양 역시 여느 질환과 마찬가지로 조기에 발견할수록 예후가 좋다”며 “건강검진에서 종격동 종양을 발견한다면, 위치나 모양 등을 보다 정확히 파악하기 위해 자기공명영상촬영(MIR) 등 추가 검사를 시행한 뒤 적절한 치료를 이어가야 한다”고 말했다.

닉네임 패스워드 도배방지 숫자 입력
내용
기사 내용과 관련이 없는 글, 욕설을 사용하는 등 타인의 명예를 훼손하는 글은 관리자에 의해 예고 없이 임의 삭제될 수 있으므로 주의하시기 바랍니다.
 
종격동, CT, 고대 안산병원, 황진욱 교수, 흉선절제술 관련기사목록
광고
광고
광고
광고
광고
광고
광고
광고
광고
광고
광고
광고
광고
광고
광고